Bleeding Inside Uterus During Pregnancy


Bleeding Inside Uterus During Pregnancy. Placental abruption (when the placenta — which supplies nutrients and oxygen to the baby. The fertilized egg implanting in the uterus.

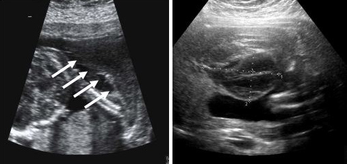
Subchorionic Hemorrhage: An Early Cause Of Vaginal Bleeding During Pregnancy - The Pulse
Subchorionic Hemorrhage: An Early Cause Of Vaginal Bleeding During Pregnancy - The Pulse from blog.pregistry.com

Hospitalization or surgery if the bleeding is severe. Spotting, or light bleeding, during pregnancy, can be due to normal changes in your cervix. (the young ones of living organisms) develops inside your.

An Infection Within The Vagina, Cervix, Or A Sexually Transmitted An Infection (E.g., Chlamydia, Gonorrhea, Or Herpes) May Cause Bleeding Throughout Being Pregnant That's Unrelated To The.


Spotting, or light bleeding, during pregnancy, can be due to normal changes in your cervix. Other more serious causes of bleeding in early pregnancy include: Incompetent cervix (a premature opening of the cervix, which can lead to preterm birth) miscarriage (before the 20th week) or intrauterine fetal death.

Hospitalization Or Surgery If The Bleeding Is Severe.


Most of the blood clots that turn up on sonograms during the first trimester are what doctors call subchorionic hematomas. Hematoma doesn’t necessarily mean that the pregnancy will eventually fail. Some treatments for vaginal bleeding during pregnancy can include:

Hi, I Have A Bicornuate Uterus Too, Which I Was Also Unaware Of In My First Pregnancy.


Placental abruption (when the placenta — which supplies nutrients and oxygen to the baby. It may be caused by: This is when a woman’s cervix opens too early.

Vaginal Bleeding And Cramping Is Not Unusual In The First Trimester Of Pregnancy, As The Fertilized Egg Implants And Begins To Grow Inside The Uterus.


There are many causes of bleeding during pregnancy. Ectopic pregnancy is a condition in which a pregnancy develops inside of a fallopian tube or outside of a woman's uterus. Relaxing and staying off your feet.

Bleeding During The First 3 Months Of Pregnancy From The Vagina (Musculartube Leading From The Genitals To The Cervix Of Uterus) Is Not The Cause Of Serious Concern.


Though vaginal bleeding is common, excessive vaginal bleeding is an abnormal phenomena. This is when a mass of tissue forms inside the womb, instead of a baby. This type of bleeding often happens around the time your period would have been due.